Dört gün boyunca süren şiddetli karın ağrılarının ardından, ismi açıklanmayan genç, Yeni Zelanda’nın Kuzey Adası’ndaki Tauranga Hastanesi’ne kaldırıldı.
Hastanenin doktorları tarafından Yeni Zelanda Tıp Dergisi’nde yayımlanan raporda şu ifadeler yer aldı:
“Yaklaşık bir hafta önce 80 ila 100 mıknatıs yuttuğunu doğruladı.”
Doktorlar, Ocak 2013’ten bu yana Yeni Zelanda'da yasaklanmış olan bu mıknatısların, çevrim içi alışveriş platformu Temu üzerinden satın alındığını belirtti.
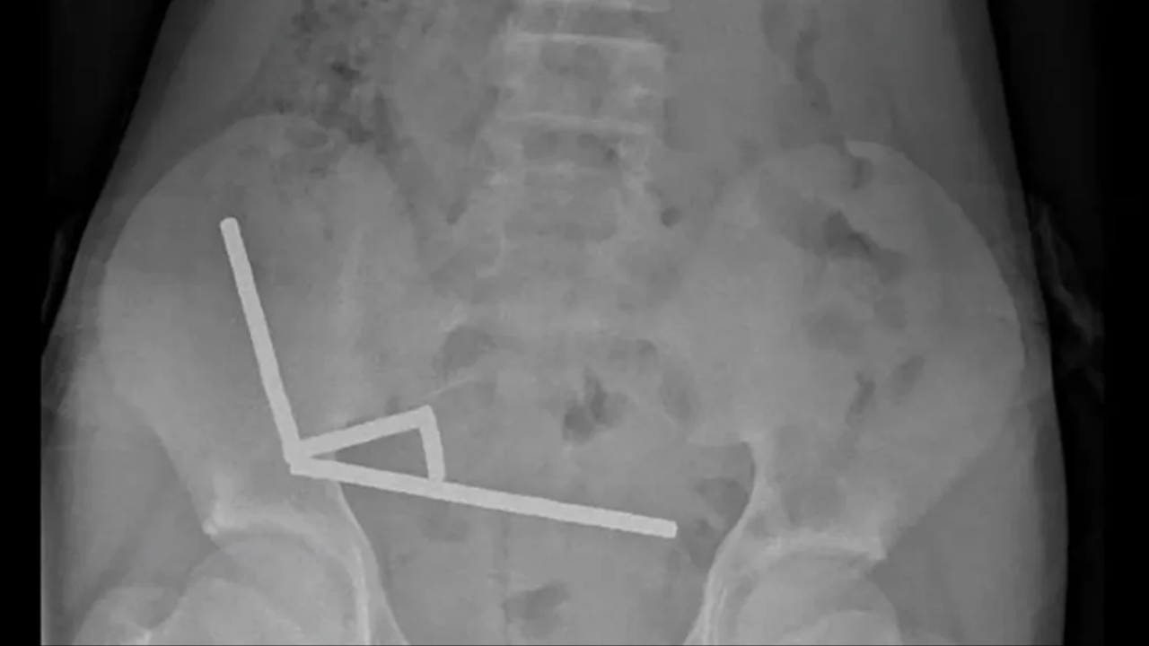
Röntgen görüntülerinde, mıknatısların bağırsak içinde dört ayrı düz çizgi halinde kümelendiği ve manyetik çekim nedeniyle bağırsakların farklı bölümlerini birbirine yapıştırdığı görüldü.
Doktorlar, mıknatısların uyguladığı baskının, ince ve kalın bağırsağın bazı kısımlarında doku ölümüne neden olduğunu açıkladı.
Cerrahlar, ölü bağırsak dokularını çıkarmak ve mıknatısları almak için ameliyat gerçekleştirdi. Genç, hastanede 8 gün tedavi gördükten sonra taburcu edildi.
Uzmanlar, mıknatıs yutulmasına bağlı yapılan ameliyatların, ilerleyen yaşamda bağırsak tıkanması, karın fıtığı ve kronik ağrı gibi uzun vadeli komplikasyonlara yol açabileceği konusunda uyarıda bulundu.
Temu şirketi ise konuya ilişkin yaptığı açıklamada, Yeni Zelanda’daki güvenlik standartlarına uyum sağlanıp sağlanmadığıyla ilgili bir inceleme başlatıldığını duyurdu.
Çin merkezli şirketten yapılan açıklamada, “Bu haberi duyduğumuza üzüldük. Dahili bir inceleme başlattık ve konuyla ilgili daha fazla bilgi almak için Yeni Zelanda Tıp Dergisi ile iletişime geçtik.” denildi.
Açıklamada ayrıca,
“Söz konusu mıknatısların gerçekten Temu üzerinden satın alınıp alınmadığını şu aşamada doğrulayamıyoruz. Bununla birlikte, ekiplerimiz ilgili ürün listelerini gözden geçirerek yerel güvenlik gerekliliklerine tam uyum sağlandığından emin oluyor.” ifadeleri yer aldı.
Temu, birçok ülkede, yasadışı veya güvenlik riski taşıyan ürünleri platformdan kaldırmak için yeterince çaba göstermemekle eleştiriliyor.




